インプラント症例集
- HOME
- インプラント症例集
鈴木歯科医院ではこれまで多くのインプラント治療を行ってきました。
ここではその一部を画像と治療費とともに紹介します。ご参考ください。
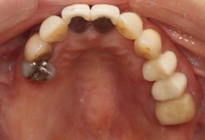
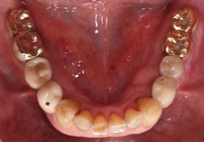
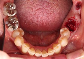
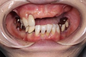
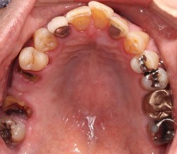
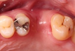
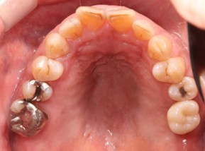
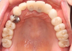
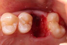
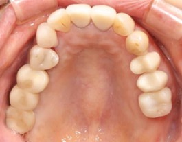
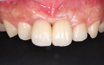
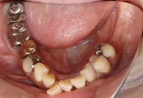
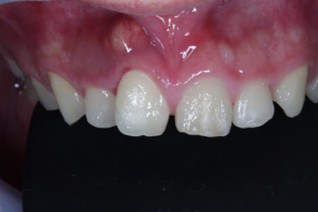
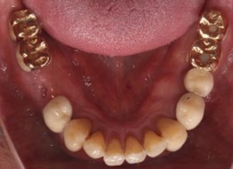
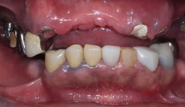
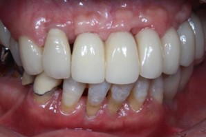
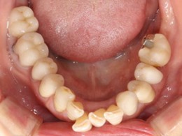
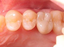
70代 女性
治療前
治療前
治療後
治療後- リスク・副作用
- 術後疼痛、歯肉腫脹
- 治療の費用
- 合計¥587,000(税込)
【内訳】
インプラント(1本)¥440,000
その他費用¥147,000
(薬・注射・レントゲン・CT・データ分析・サージカルステント・血液検査) - 年齢/性別
- 70代/女性
- 患者の具体的な症状
- 下顎の奥歯が義歯で噛みづらいため、インプラント治療を希望
- 検査方法
- コーンビームCT、レントゲン撮影
- 診断結果
- 左下6欠損
- 治療詳細
- 左下6インプラント埋入1本、骨造成なし、局所麻酔
- 通院回数
- 8回
- 治療期間
- 6か月
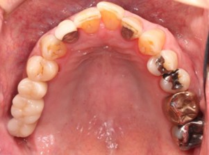
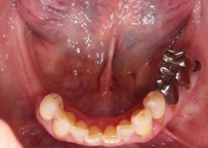
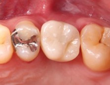
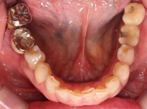
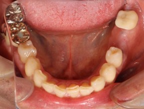
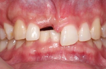
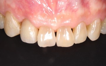
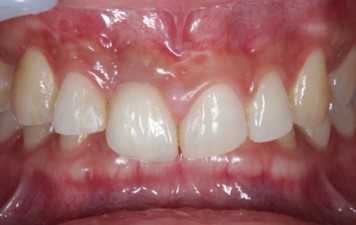
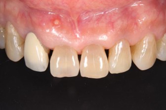
20代 男性
治療前
治療前
治療後
治療後- リスク・副作用
- 術後疼痛、歯肉腫脹
- 治療の費用
- 合計¥701,000(税込)
【内訳】
インプラント(1本)¥440,000
その他費用¥261,000
(薬・注射・レントゲン・CT・データ分析・骨造成・サージカルステント・血液検査・仮歯) - 年齢/性別
- 20代/男性
- 患者の具体的な症状
- 1年前に左上12 右上1の根の治療をし、その後放置していたら、左上2が破折した。
左上2インプラント補綴 左上1右上1オールセラミック装着。
歯根破折と虫歯による痛み、審美障害を主訴として来院。 - 検査方法
- コーンビームCT、レントゲン撮影
- 診断結果
- 左上2 歯根破折
- 治療詳細
- 左上抜歯後、インプラント埋入1本
骨造成あり 局所麻酔
インプラント治療後、左上1右上1セラミック修復2本 - 通院回数
- 9回
- 治療期間
- 12か月
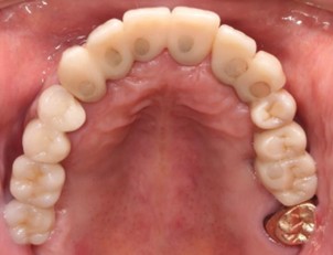
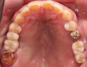
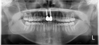
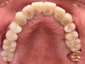
40代 女性











- リスク・副作用
- 術後疼痛、歯肉腫脹
- 治療の費用
- 合計¥686,000(税込)
【内訳】
インプラント(1本) ¥440,000
その他費用¥246,000
(薬・注射・レントゲン・CT・データ分析・骨造成・サージカルステント・血液検査) - 年齢/性別
- 40代/女性
- 患者の具体的な症状
- 左上6欠損のため義歯を使用していたが、噛むと痛みがあり不快なため、インプラント治療を希望
- 検査方法
- コーンビームCT、レントゲン撮影
- 診断結果
- 左下6欠損
- 治療詳細
- コーンビームCTによる画像診断で垂直的な骨高が不足し骨密度が少ないため、ソケットリフトによる骨再生治療とインプラント埋入を同時に行った。
- 通院回数
- 7回
- 治療期間
- 7か月
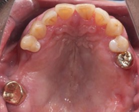
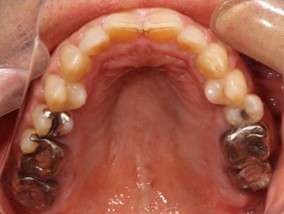
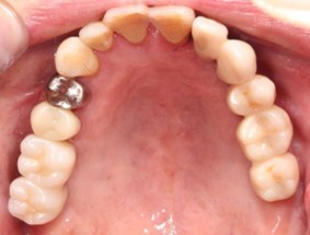
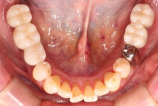
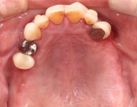
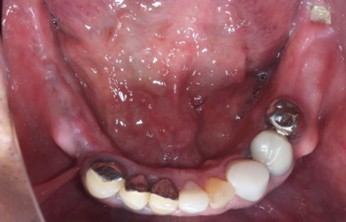
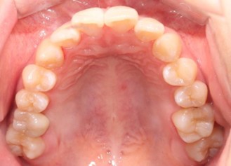
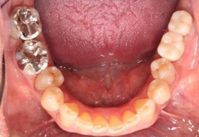
70代 女性
治療前
治療前
治療後- リスク・副作用
- 術後疼痛、歯肉腫脹
- 治療の費用
- 合計¥1,126,000(税込)
【内訳】
インプラント(2本)¥880,000
その他費用¥246,000
(薬・注射・レントゲン・ソケットリフト骨造成・サージカルステント・CT・データ分析) - 年齢/性別
- 70代/女性
- 患者の具体的な症状
- 右上56欠損のため義歯を使用していたが不安定で十分噛めないため、インプラント治療を希望
- 検査方法
- コーンビームCT、レントゲン撮影
- 診断結果
- 右上56欠損
- 治療詳細
- 右上56部、コーンビームCTによる画像診断で垂直的な骨高、骨密度の不足のため、ソケットリフトによる骨再生治療とインプラント埋入2本を同時にショートインプラントを用いて行った。
- 通院回数
- 7回
- 治療期間
- 7か月
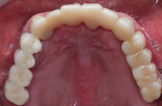
20代 男性
治療前
治療前
治療後
治療後- 年齢/性別
- 20代/男性
- 主訴
- 右上前歯欠損
- 治療期間
- 1年間
- 治療費
- インプラント¥432,000
骨造成¥108,000
サージカルステント¥54,000
CT ¥10,800 - リスク・副作用
- 小学校2年の時に事故で、前歯を破折し、その後被せ物をしていたが、保存不能となり、大学病院で前歯を抜歯した。その後インプラント希望にて来院。前歯部に骨が少なく、骨の再生を行ってインプラント治療を行った。リスクとしては術後の腫れ、出血。
70代 女性
治療前
治療前
治療後
治療後- 年齢/性別
- 70代/女性
- 主訴
- 右上奥歯5・6・7欠損
- 治療期間
- 1年間
- 治療費
- サイナスリフト¥216,000
インプラント3本¥1,296,000
サージカルステント¥75,600 - リスク・副作用
- 副鼻腔炎、鼻出血、右上顎腫脹
右上7・6・5に義歯を使用していたが、十分に噛めないため、固定式のインプラントを希望された
50代 男性
治療前
治療前
治療後
治療後- 年齢/性別
- 50代/男性
- 主訴
- 上顎の義歯の具合が悪いため、インプラント希望
- 治療期間
- 1年間
- 治療費
- インプラント¥4,400,000
骨造成¥220,000
サージカルステント¥99,000 - リスク・副作用
- 術後の腫れ・出血
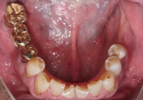
60代 男性
治療前
治療前
治療後
治療後- 年齢/性別
- 60代/男性
- 主訴
- 右上6の咬合痛歯肉腫脹
- 治療期間
- 3ヶ月
- 治療費
- インプラント¥440,000
骨造成¥120,000
サージカルステント¥66,000 - リスク・副作用
- 術後の腫脹 出血
70代 男性
治療前
治療前
治療後
治療後- 年齢/性別
- 70代/男性
- 主訴
- 右上6・7の欠損
- 治療期間
- 6ヶ月
- 治療費
- インプラント¥880,000
骨造成¥110,000
サージカルステント¥77,000 - リスク・副作用
- 術後の腫脹 出血
60代 女性
治療前
治療前
治療後
治療後- 年齢/性別
- 60代/女性
- 主訴
- 左上1~7/右上7・6・5/左下4~7
- 治療期間
- 12ヶ月
- 治療費
- インプラント¥4,400,000
骨造成¥440,000
サージカルステント¥77,000 - リスク・副作用
- 術後の腫脹 出血
60代 男性
治療前
治療前
治療後
治療後- 年齢/性別
- 60代/男性
- 主訴
- 右上7~5/左下6・7
- 治療期間
- 12ヶ月
- 治療費
- インプラント¥1,760,000
骨造成¥220,000
サージカルステント¥110,000 - リスク・副作用
- 術後の腫脹 出血
50代 男性
治療前
治療前
治療後
治療後- 年齢/性別
- 50代/男性
- 主訴
- 右上7・6・3/左上6/右下5
- 治療期間
- 12ヶ月
- 治療費
- インプラント¥4,840,000
骨造成¥330,000
サージカルステント¥165,000 - リスク・副作用
- 術後の腫脹 出血
70代 男性
治療前
治療前
治療後
治療後- 年齢/性別
- 70代/男性
- 主訴
- 右上3/左上1~7/右下7~4/左下6
- 治療期間
- 12ヶ月
- 治療費
- インプラント¥3,960,000
骨造成¥330,000
サージカルステント¥187,000 - リスク・副作用
- 術後の腫脹 出血
70代 男性
治療前
治療前
治療後
治療後- 年齢/性別
- 70代/男性
- 主訴
- 咀嚼障害
- 治療期間
- 1年7ヶ月
- 治療費
- インプラント¥440,000
骨造成¥300,000
サージカルステント¥200,000 - リスク・副作用
- 術後の腫脹 出血
10代 男性
治療前
治療前
治療後
治療後- 年齢/性別
- 10代/男性
- 主訴
- 上顎前歯部咬合痛歯根破折
- 治療期間
- 11ヶ月
- 治療費
- インプラント¥880,000
骨造成¥130,000
サージカルステント¥77,000 - リスク・副作用
- 術後の腫脹 出血
70代 女性
治療前
治療前
治療後
治療後- 年齢/性別
- 70代/男性
- 主訴
- 審美障害
- 治療期間
- 4ヶ月
- 治療費
- インプラント¥440,000
骨造成¥120,000
サージカルステント¥55,000 - リスク・副作用
- 術後の腫脹 出血
10代 女性
治療前
治療前
治療後
治療後- 年齢/性別
- 10代/女性
- 主訴
- 咬合痛・咀嚼障害
- 治療期間
- 7ヶ月
- 治療費
- インプラント¥440,000
骨造成¥120,000
サージカルステント¥55,000 - リスク・副作用
- 術後の腫脹 出血
30代 男性
治療前
治療前
治療後
治療後- 年齢/性別
- 30代/男性
- 主訴
- 歯根破裂・歯根嚢胞
- 治療期間
- 4ヶ月
- 治療費
- インプラント¥440,000
骨造成¥120,000
サージカルステント¥55,000 - リスク・副作用
- 術後の腫脹 出血